灵珑随心 睿影随形

X5便携式彩色多普勒超声诊断系统

广告

  • 主机轻薄

    出色、灵动的外形设计,完美诠释银河集团官网时尚前沿的人机工程学设计

  • 反应速度快

    搭配高性能FPGA主板,快速响应您的各种需求。开、关机迅速,把握诊断时间

  • 图像画质优

    结合了高端的成像技术,为您提供精确的高清图像和易操控的体验

  • 高分辨率医用液晶监视器

    高分辨率广视角医用彩色液晶显示器,大角度、无失真、无角度依赖,支持大角度调节

  • 大容量可拆卸锂电池

    具备不同种规格的可拆卸锂电池,方便在户外、救护车上的使用,待机时间更长

  • 综合数据管理

    可编辑超声诊断报告,整体患者管理流程方便简捷,多种数字化外设接口,可提供多样化的图像输出方式

关注体验 亲密贴心

  • 科学的面板布局

    按键位置根据功能模块科学分区,常用功能键放置在轨迹球周围,使操作者直观的进行单手操作

  • 待机时间长

    为满足急诊、床旁、手术室等多科室灵活应用的需要,支持待机移动,让您随意在科室内外,院内户外使用,同时延长了仪器和探头的使用寿命,减少维护成本

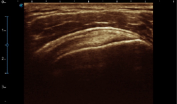
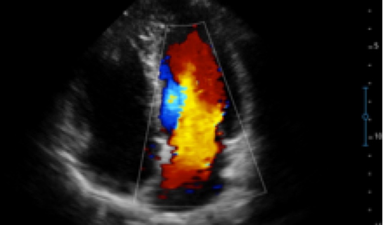
精锐影像 清晰呈现

高品质的临床图像,强大的系统性能,为临床医疗提供诊疗方案

X5采用前端的超声专用芯片,将台式机大规模集成电路完美压缩在笔记本超声的精巧下,提高了系统的运算速度,加载μ-Scan微米成像、脉冲反相谐波等技术,带来优异的临床表现,清晰呈现高分辨率二维图像和层次丰富的血流图像

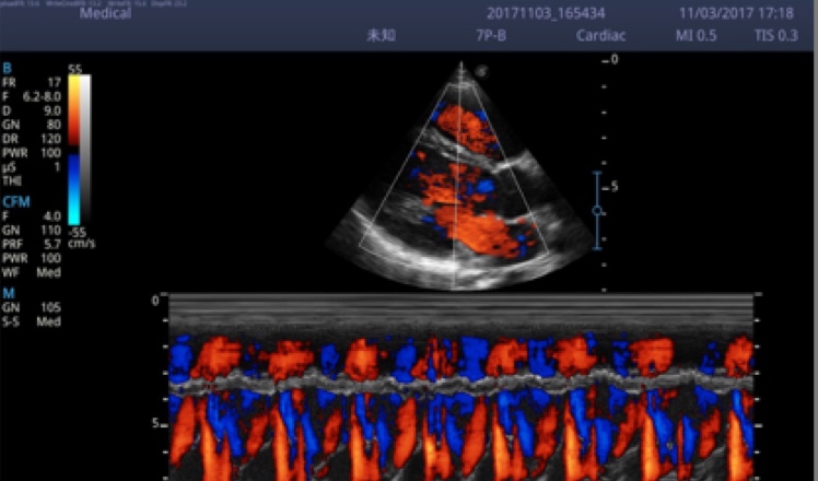
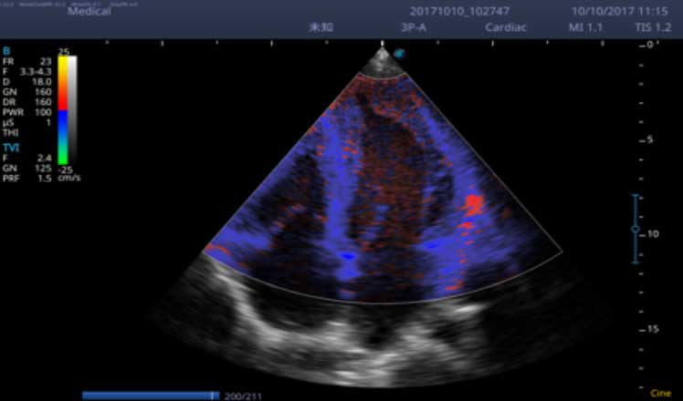
高端临床功能,为学术科研提供辅助工具

X5具备实时宽景成像、穿刺增强、彩色M型、组织多普勒等多种高级成像功能,全方位满足多个科室的诊断需求,整机系统向智能化跨越

传承经典 清晰视界

禁忌内容或者注意事项详见说明书